Milano
Coronavirus, ecco le prime immagini al microscopio del virus isolato al Sacco

L'Universita' Statale di Milano diffonde le prime immagini al microscopio elettronico del virus. Doxa: potrebbero essere più di 5 mln gli italiani infettati
La prima immagine del Virus Lombardo isolato dal gruppo Ospedale Sacco/Università Statale di Milano
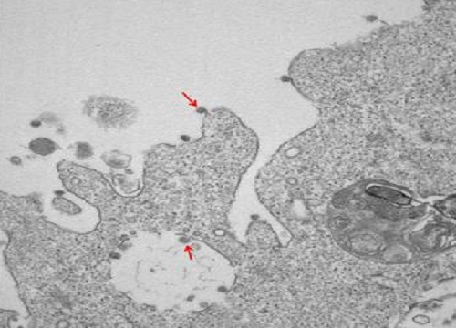
Prime immagini al microscopio elettronico del virus SARS-CoV-2 isolato presso il Laboratorio di Malattie Infettive dal gruppo coordinato dai prof. Massimo Galli e Gianguglielmo Zehender, in collaborazione con l’Anatomia Patologica diretta dalla prof.ssa Manuela Nebuloni del Dipartimento di Scienze Biomediche e Cliniche Luigi Sacco dell’Università degli Studi di Milano.
Hanno ottenuto gli isolamenti i ricercatori Alessia Lai, Annalisa Bergna, Arianna Gabrieli e Maciej Tarkowski, mentre hanno effettuato le osservazioni al microscopio elettronico e prodotto le bellissime immagini le dott.sse Antonella Tosoni e Beatrice Marchini.
1. Nella foto si osservano chiaramente, ad un ingrandimento di 30000X, le particelle virali di SARS-CoV-2 (indicate dalle frecce), adese alle membrane sulla superficie e all’interno di cellule VERO E6 utilizzate per l’isolamento.
2. Combinazione di 2 immagini a diverso ingrandimento (50000X e 140000X) che mostra le particelle virali con la tipica ultrastruttura caratterizzata dalla corona di glicoproteine superficiali.
DOXA: POTREBBERO ESSERE OLTRE 5 MILIONI GLI ITALIANI INFETTATI DA COVID- 19 A MARZO 2020
Dai risultati di una indagine Doxa coordinata dal gruppo di Carlo La Vecchia dell’Università Statale di Milano condotta sul territorio nazionale fra il 27 e il 30 marzo su sintomi correlati a Covid – 19 emergono dati che fanno ipotizzare che siano stati colpiti da Covid in Italia almeno 5 milioni di soggetti e 1 milione nella sola Lombardia.
L'Italia e in particolare la Lombardia con i suoi 10 milioni di abitanti, sono state pesantemente colpite dall'epidemia di Covid-19. Secondo i dati ufficiali, a fine marzo si registravano 105.792 casi e 12.442 decessi su scala nazionale, e 43.208 casi e 7.199 decessi a livello regionale.
Le cifre reali sono tuttavia incerte: i casi registrati in Italia includono essenzialmente i ricoveri ospedalieri, più un ristretto numero di soggetti positivi a tamponi PCR eseguiti in modo non sistematico.
Per stimare il numero di casi possibili, sono state inserite una serie di domande sui sintomi correlati a Covid-19 (come febbre, mal di testa, raffreddore, tosse, disturbi gastrointestinali) nel sondaggio condotto settimanalmente da Doxa.
L'indagine, realizzata fra il 27 e il 30 marzo si basa su un campione di 1.000 individui, rappresentativi della popolazione generale italiana tra 18 e 85 anni in termini di sesso, età, area geografica e condizioni socio-economiche. Di questi, 169 erano residenti in Lombardia. I dati, raccolti con metodologia CAWI (computer assisted web interviews), si riferiscono a domande poste ai cittadini relative alle loro condizioni nelle tre settimane precedenti la rilevazione.
I risultati principali sono riportati nella Tabella. Nelle ultime 3 settimane in Italia il 14,4% dei soggetti ha riportato sintomi di tipo Covid-19, e l'1,5% febbre superiore a 38,5 gradi. In Lombardia le percentuali si attestano rispettivamente al 18,3% e al 3%. Sia in Italia che in Lombardia la percentuale di soggetti che hanno riferito sintomi di tipo Covid-19 è più alta fra le donne, i giovani, i fumatori e le persone con un'istruzione superiore.
Parte dei sintomi descritti non è correlata a Covid-19. Sebbene il periodo dell'influenza annuale si fosse concluso entro il 7 marzo, parte dei sintomi riferiti potrebbe essere legata ad altre condizioni (virali) non specifiche. È possibile, tuttavia, che buona parte dei sintomi – e la maggioranza degli episodi di febbre superiore a 38,5 gradi in marzo – sia dovuta a Covid 19. Anche ipotizzando che solo la metà dei sintomi segnalati sia riconducibile a Covid-19, circa l'8% della popolazione in Italia e il 10% in Lombardia sarebbero stati affetti da Covid-19 nelle tre settimane precedenti la raccolta dati.
Ciò equivarrebbe ad almeno 5 milioni di soggetti colpiti in Italia e 1 milione nella sola Lombardia, una cifra che può essere raddoppiata supponendo che la maggior parte dei sintomi simili a quelli di Covid-19 sia effettivamente correlata a Covid-19. I dati si limitano a un periodo di 3 settimane; altri soggetti erano affetti da sintomi analoghi prima del 7 marzo. Inoltre a queste stime vnno aggiunti i soggetti che hanno contratto Covid 19 in assenza di ogni sintomo.
Malgrado il limite fondamentale della soggettività delle risposte, l'indagine presenta un punto di forza importante, in quanto parte di un sondaggio periodico validato, condotto su un campione ragionevolmente ampio e rappresentativo della popolazione generale italiana e lombarda.
I dati indicano pertanto che – anche ignorando i casi asintomatici – l'epidemia di Covid-19 potrebbe aver colpito una parte sostanziale della popolazione italiana entro la fine di marzo, certamente superiore di un ordine di grandezza, e forse anche di due, rispetto ai casi registrati.












