Medicina
Abusi sui minori come capirlo: Tac al cervello rivela la presenza di traumi

Abusi sui bambini: una tac al cervello rivela se il bambino ha subito traumi infantili. Gli abusi sui minori possono modificare lo sviluppo del cervello
Bambini abusati come capirlo: lo rivela la Tac al cervello
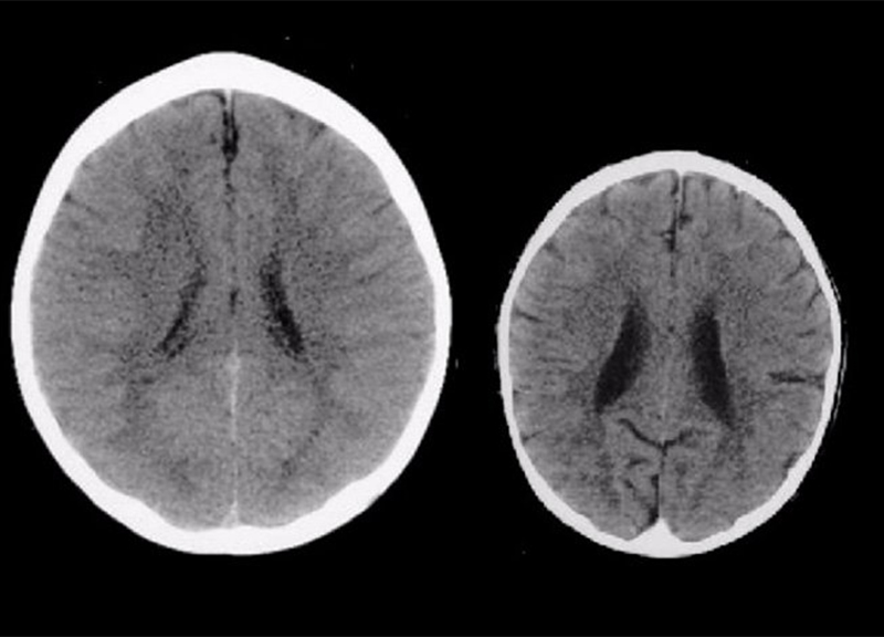
Il confronto tra le Tac al cervello di due bambini hanno rivelato la presenza di traumi infantili dovuti a abusi o negligenze
La scansione a sinistra è di un bambino di tre anni, cresciuto in un ambiente amorevole, mentre quella sulla destra è di un bambino che ha subito traumi emotivi ed è stato vittima di negligenze.
Le immagini mostrano la scioccante realtà di come gli abusi sull’infanzia possono modificare lo sviluppo del cervello. Le scansioni sono state condivise dal professor Bruce Perry, direttore del reparto psichiatria del Texas Children’s Hospital. Il professore spiega come il bambino nella scansione destra soffre di 'grave negligenza di deprivazione-sensoriale” e di conseguenza il cervello è molto più piccolo e ha una struttura molto più confusa.
Il bambino non ha sperimentato l’udito, olfatto e il tatto e per tali ragioni è da consideri un bambino sottoposto ad un livello di abuso estremo. Il prof. Perry, come riporta Metro. Uk a tal proposito dichiara:
"Queste immagini illustrano l'impatto negativo dell'abbandono sul cervello in via di sviluppo. Nella Tac al cervello di sinistra c’è un'immagine di un bambino di tre anni sano con una dimensione media della testa. L'immagine a destra è di un bambino di tre anni che soffre di una grave negligenza di deprivazione-sensoriale. Il cervello di questo bambino è notevolmente più piccolo della media e presenta ventricoli allargati e un’atrofia corticale. L'atrofia corticale è spesso associata a persone anziane che soffrono di Alzheimer.”
Tac al cervello mostra la presenza di abusi sui bambini: un trauma che si ripercuoterà per tutta la vita
Se il cervello di un bambino comincia a mostrare questi segni di danni strutturali, significa che probabilmente subirà ritardi nello sviluppo e problemi di memoria nella crescita. Il dottor Perry spiega che i bambini che sono stati emotivamente trascurati lottano per formare relazioni sane in età più adulta. È possibile che il bambino oggetto di abusi finisca per manifestare disturbi dell’attaccamento o diventare eccessivamente dipendente da un individuo.
Questo studio si ricollega ad alcuni studi precedenti, una ricerca americana dello scorso anno dimostra infatti come i cervelli dei giovani che non hanno subito traumi nell’infanzia crescono il doppio dei cervelli dei bambini che sono stati “trascurati”.

